Viêm lộ tuyến: Nguyên nhân, triệu trứng, cách điều trị
date_default_timezone_set('Asia/Ho_Chi_Minh'); ?> Ngày đăng: 14/10/2025 14:33:57 GMT+7 - Ngày cập nhật: 14/10/2025 14:37:19 GMT+7Tìm hiểu viêm lộ tuyến cổ tử cung là gì, nguyên nhân, triệu chứng và cách điều trị an toàn với bài viết của Sebamed. Các bạn sẽ được quan sát thêm hình ảnh viêm lộ tuyến cổ tử cung giúp nhận biết mức độ nặng nhẹ và hướng chữa trị phù hợp.
Viêm lộ tuyến là gì?

Lộ tuyến cổ tử cung (đôi khi được gọi là tắt là viêm lộ tuyến) là tình trạng các tế bào tuyến (biểu mô trụ) lót nội mạc cổ tử cung hiện diện trên ngoại mạc cổ tử cung, khiến các tế bào trụ này tiếp xúc với môi trường âm đạo.
Về cơ bản, có 2 loại tế bào được tìm thấy ở cổ tử cung:
- Tế bào vảy: Đây là những tế bào màu hồng ‘cứng’ và bao phủ phần bên ngoài của cổ tử cung.
- Tế bào trụ/tuyến: Đây là những tế bào màu đỏ ‘mềm, mỏng manh’ và lót bên trong cổ tử cung.
Nơi 2 loại tế bào này gặp nhau ở lỗ cổ tử cung là một vùng gọi là ranh giới vảy trụ (SCJ). Khi sinh ra, SCJ nằm ở hoặc bên trong lỗ cổ tử cung nhưng khi bạn già đi, đặc biệt là sau tuổi dậy thì, lượng hormone nữ (estrogen) tăng lên khiến kích thước tử cung (dạ con) tăng lên.
Theo đó, vành cổ tử cung sẽ tiến ra phía ngoài, khiến nhiều tế bào hình trụ hơn có thể nhìn thấy trên cổ tử cung. Điều này tương tự như những gì xảy ra khi bạn chu môi, phần bên trong miệng sẽ lộ rõ hơn, khi bác sĩ hoặc y tá nhìn vào cổ tử cung của bạn, họ sẽ thấy một vùng đỏ, đây là các tế bào mềm (tuyến), đây được gọi là “lộ tuyến cổ tử cung”.
Lộ tuyến cổ tử cung là một biến thể không có triệu chứng nhưng có liên quan đến viêm cổ tử cung mãn tính. Đây là tình trạng bình thường và rất phổ biến. Nó không liên quan đến ung thư cổ tử cung.
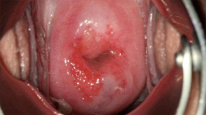
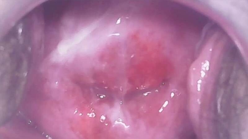
Hình ảnh viêm lộ tuyến cổ tử cung
Khi khám bằng mỏ vịt , lộ tuyến cổ tử cung biểu hiện bằng một vùng màu đỏ kéo dài từ lỗ ngoài, tương phản với màu hồng bình thường của cổ tử cung. Vùng này dễ bị chảy máu do có mạng lưới mạch máu mỏng manh. Nó có thể bị nhầm lẫn với các dấu hiệu sớm của ung thư cổ tử cung.

Dấu hiệu viêm lộ tuyến

Lộ tuyến cổ tử cung thường không có triệu chứng và thường được phát hiện khi khám phụ khoa định kỳ ở phụ nữ trong độ tuổi sinh sản. Trong trường hợp có triệu chứng, các bạn có thể biểu hiện bất kỳ triệu chứng dưới đây:
- Khí hư âm đạo. Đây là triệu chứng phổ biến nhất. Khí hư không có mủ và có thể có màu trắng hoặc vàng. Diện tích bề mặt của các tế bào trụ tiết dịch nhầy tăng lên; do đó, phụ nữ bị lộ tuyến cổ tử cung sẽ bị khí hư âm đạo quá nhiều.
- Chảy máu sau giao hợp. Tình trạng này xảy ra ở 5 đến 25% phụ nữ bị lộ tuyến cổ tử cung. Các mạch máu nhỏ trong biểu mô dễ bị rách trong quá trình giao hợp, dẫn đến chảy máu sau giao hợp. Lộ tuyến cổ tử cung là một trong những nguyên nhân phổ biến gây chảy máu âm đạo trong tam cá nguyệt thứ ba của thai kỳ.
- Chảy máu giữa kỳ kinh nguyệt
- Đau khi giao hợp
- Đau vùng chậu
- Viêm cổ tử cung tái phát
- Đau lưng
- Rối loạn tiểu tiện
Biểu hiện của viêm lộ tuyến cổ tử cung có triệu chứng và viêm âm đạo viêm tróc vảy có thể chồng chéo. Viêm âm đạo viêm tróc vảy là viêm âm đạo mãn tính với biểu hiện khí hư, khó chịu ở âm hộ và âm đạo, đau khi giao hợp, các nốt ban đỏ ở cổ tử cung khi khám bằng mỏ vịt.
Biểu mô trụ lộn ngược có màu đỏ khi khám bằng mỏ vịt, xếp thành vòng quanh lỗ ngoài. Chảy máu sau giao hợp và màu đỏ của cổ tử cung khi khám bằng mỏ vịt có thể bị nhầm lẫn với các dấu hiệu sớm của ung thư cổ tử cung. Tuy nhiên, các bạn cần hiểu rằng, lộ tuyến cổ tử cung không phải là dấu hiệu hay triệu chứng sớm của ung thư cổ tử cung.
Nguyên nhân viêm lộ tuyến cổ tử cung

Cổ tử cung là phần dưới của tử cung và được chia thành hai phần: nội cổ tử cung, còn được gọi là ống cổ tử cung, và ngoại cổ tử cung, phần dưới nhô vào âm đạo có thể nhìn thấy khi khám bằng mỏ vịt. Nội cổ tử cung được lót bằng các tế bào hình trụ (tuyến), mềm và mỏng manh hơn. Ngoại cổ tử cung được bao phủ bởi các tế bào vảy, cứng hơn và có thể chịu được môi trường axit của âm đạo.
Tế bào vảy và tế bào trụ gặp nhau tại điểm nối vảy-trụ (SCJ), thường nằm ở lỗ ngoài. Viêm lộ tuyến cổ tử cung xảy ra khi các tế bào trụ của nội mạc cổ tử cung lan ra ngoài cổ tử cung. Điều này làm lộ các mô tuyến mỏng manh hơn ra môi trường âm đạo, khiến nó trông đỏ và dễ bị tổn thương hơn, chẳng hạn như trong khi quan hệ tình dục.
Và sự xuất hiện của tình trạng lộ tuyến cổ tử cung có liên quan đến sự gia tăng nồng độ estrogen. Cổ tử cung phản ứng rất mạnh với estrogen, gây ra sự tăng sinh và biệt hóa của biểu mô cổ tử cung. Do đó, lộ tuyến cổ tử cung thường xảy ra trong các điều kiện phơi nhiễm estrogen cao, cụ thể như sau:
-
Dậy thì
-
Mang thai
-
Phụ nữ sử dụng biện pháp tránh thai nội tiết tố
-
Trong những năm có kinh nguyệt, thường thấy nhất ở giai đoạn rụng trứng
Đây có thể là một tình trạng bẩm sinh do sự tồn tại của khớp vảy trụ tại vị trí ban đầu của nó lúc mới sinh. Trong giai đoạn phát triển cuối của thai nhi và tháng đầu đời, việc tiếp xúc với hormone của mẹ sẽ kích thích hoạt động quá mức của biểu mô trụ cổ tử cung và gây ra tình trạng lộ tuyến cổ tử cung.
Tình trạng này không phổ biến ở phụ nữ sau mãn kinh. Trong giai đoạn sau mãn kinh, nồng độ estrogen giảm, khiến cổ tử cung co lại và đảo ngược, do đó kéo biểu mô tế bào vảy của ngoại cổ tử cung vào ống cổ tử cung.
Cách điều trị viêm lộ tuyến cổ tử cung

Trước khi tiến hành điều trị, điều quan trọng là phải loại trừ các bạn không bị nhiễm trùng hay có bất kỳ dấu hiệu bất thường nào ở cổ tử cung khác. Thông thường, các xét nghiệm này đã được bác sĩ đa khoa thực hiện. Việc này có thể bao gồm lấy mẫu dịch và đảm bảo kết quả sàng lọc cổ tử cung của bạn (nếu bạn đủ điều kiện) được cập nhật.
Viêm lộ tuyến cổ tử cung rất nhẹ đến nhẹ không cần điều trị, trừ khi các triệu chứng ảnh hưởng đến cuộc sống hàng ngày của chị em. Điều trị không phải lúc nào cũng cần thiết vì các triệu chứng có thể tự khỏi trong vòng 3 đến 6 tháng. Đôi khi, việc chuyển từ thuốc tránh thai nội tiết tố như thuốc tránh thai đường uống sang các biện pháp tránh thai mà không ảnh hưởng đến nội tiết tố có thể giải quyết vấn đề.
Tuy nhiên, nếu bạn thấy các triệu chứng của mình gây khó chịu hoặc kéo dài hơn 6 tháng, bác sĩ đa khoa có thể giới thiệu bạn đi đánh giá thêm. Việc điều trị thường được thực hiện tại phòng khám phụ khoa hoặc soi cổ tử cung. Phương pháp điều trị này nhằm mục đích phá hủy các tế bào “mềm mỏng” để ngăn chúng chảy máu, mặc dù điều này không được khuyến cáo trong thai kỳ.
Và các bạn có thể áp dụng các phương pháp điều trị sau:
Đặt thuốc âm đạo
Các bạn có thể sẽ được các bác sĩ kê các loại thuốc đặt sau để chữa viêm lộ tuyến cổ tử cung:
- Thuốc đạn Interferon alpha. Thuốc có tác dụng điều hòa miễn dịch và chống tăng sinh. Interferon alpha tăng cường chức năng của tế bào lympho T.
- Thuốc đặt âm đạo polydeoxyribonucleotide. Thuốc này giúp tái tạo biểu mô vùng bị lộ tuyến, do đó làm giảm kích thước của vùng lộ tuyến. Hiệu quả của phương pháp này được giải thích bởi khả năng dung nạp và tuân thủ tuyệt vời của người dùng, giảm viêm, tăng vùng tối màu do iốt, tái lập sự cân bằng bình thường của tế bào lympho T và B, và giảm cường độ các triệu chứng.
- Thuốc đặt âm đạo có chứa axit boric có thể được sử dụng để làm cho độ pH có tính axit.
Bôi Bạc nitrat
Với thuốc bôi Bạc nitrat, các bác sĩ sẽ sử dụng một que hóa chất được bôi lên vùng da bị lộn mi và đốt (đốt) vùng da đó. Quá trình này mất khoảng một đến hai phút. Không sử dụng trên diện tích lớn. Không cần gây tê tại chỗ.
Chăm sóc sau khi tiêm bạc nitrat: Bạn có thể bị ra dịch nhầy màu đen, loãng trong tối đa một tuần. Tình trạng này sẽ làm bẩn quần lót. Trong thời gian này, bạn nên sử dụng băng vệ sinh thay vì tampon để giảm nguy cơ nhiễm trùng.
Bạn nên tránh quan hệ tình dục cho đến khi dịch tiết ổn định. Nếu có quan hệ, nên sử dụng bao cao su vì bạc nitrat trên cổ tử cung có thể gây kích ứng cho bạn tình.
Đốt lạnh điều trị viêm lộ tuyến
Đốt lạnh là kỹ thuật đông lạnh được sử dụng để điều trị chứng lộ tuyến cổ tử cung. Một đầu dò nhỏ có đầu kim loại được đặt vào cổ tử cung hoặc cổ tử cung được xử lý bằng bình xịt lạnh. Quá trình điều trị kéo dài khoảng 90 giây và bạn có thể cảm thấy đau như đau bụng kinh trong thời gian này. Khi thực hiện đốt lạnh sẽ không cần gây tê tại chỗ.
Người ta đã quan sát thấy rằng sau khi điều trị bằng liệu pháp lạnh, chất lượng dịch nhầy cổ tử cung được cải thiện. Do đó, phụ nữ vô sinh bị lộ tuyến cổ tử cung kèm theo dịch nhầy cổ tử cung có thể được điều trị bằng liệu pháp lạnh. Liệu pháp này an toàn cho phụ nữ mang thai.
Chăm sóc sau khi đốt lạnh: Nếu cơn đau bụng kinh vẫn còn khi bạn về nhà, bạn có thể dùng bất kỳ loại thuốc giảm đau nào bạn thường dùng, chẳng hạn như paracetamol.
Bạn có thể bị ra dịch nhiều, loãng trong khoảng hai tuần. Nên sử dụng băng vệ sinh thay vì tampon trong thời gian này để giảm nguy cơ nhiễm trùng. Dịch tiết âm đạo không nên có màu vàng hoặc mùi hôi vì đây có thể là dấu hiệu của nhiễm trùng. Nếu bị nhiễm trùng, hãy đến gặp bác sĩ đa khoa để được kê đơn thuốc kháng sinh. Bạn nên tránh quan hệ tình dục cho đến khi dịch tiết ổn định.
Đốt điện nhiệt chữa viêm lộ tuyến cổ tử cung

Đốt điện bằng điện nhiệt thì thuốc gây tê tại chỗ được tiêm vào cổ tử cung. Một dụng cụ gọi là bóng đông máu sử dụng dòng điện được sử dụng để đốt lớp tế bào trên cùng của cổ tử cung. Đầu đốt được giữ trong 30 giây trên vùng viêm, xử lý bằng nhiệt để tiêu diệt các tế bào bất thường.
Mặc dù hình ảnh cổ tử cung được cải thiện sau khi đông tụ mô bằng vi sóng, nhưng không có lợi ích nào khác được tìm thấy khi so sánh với liệu pháp đặt thuốc đạn interferon-alpha hoặc liệu pháp đông lạnh. Một số nghiên cứu cho thấy chảy máu âm đạo ít hơn sau khi đông tụ mô bằng vi sóng so với chảy máu âm đạo sau khi điều trị bằng laser.
Chăm sóc sau khi điều trị bằng phương pháp đốt điện nhiệt: Bạn có thể bị ra dịch nhầy, máu nhẹ trong vòng 2 đến 4 tuần. Nên sử dụng băng vệ sinh thay vì tampon trong thời gian này để giảm nguy cơ nhiễm trùng. Bạn nên tránh quan hệ tình dục cho đến khi dịch âm đạo ổn định. Bạn có thể bị đau bụng kinh sau khi điều trị, sau khi thuốc gây tê tại chỗ hết tác dụng. Bạn có thể dùng bất kỳ loại thuốc giảm đau nào bạn thường dùng, chẳng hạn như paracetamol.
Chiếu laser
Liệu pháp laser là sử dụng chùm tia laser carbon dioxide để phá hủy biểu mô cổ tử cung bất thường được nhìn thấy qua hình ảnh phóng đại của máy soi cổ tử cung. Đây là một thủ thuật ngoại trú và được thực hiện mà không cần gây mê toàn thân hay gây tê tại chỗ. Ưu điểm của liệu pháp laser là độ chính xác cao hơn, ít đau sau thủ thuật và phục hồi nhanh chóng.
Ngoài ra, còn có các phương pháp như sử dụng huyết tương giàu tiểu cầu tự thân. Đây là một liệu pháp đầy hứa hẹn. Thời gian lành mô ngắn và chảy máu sau thủ thuật ít hơn nhiều so với liệu pháp laser. Hoặc các bác sĩ có thể sử dụng siêu âm tập trung là một liệu pháp đầy hứa hẹn khác cho tình trạng lộ tuyến cổ tử cung có triệu chứng vì nó có thể được sử dụng cho nhiều loại phụ nữ.
Tỷ lệ chữa khỏi là 92% khi điều trị bằng phương pháp đốt điện hoặc đông tụ mô bằng vi sóng. Tỷ lệ chữa khỏi là 79% khi điều trị bằng laser.
Dấu hiệu khỏi viêm lộ tuyến

Sự thành công của điều trị, dấu hiệu khỏi viêm lộ tuyến được xác định bởi những điều sau đây:
- Cải thiện hình dạng cổ tử cung trước đây có màu đỏ tươi
- Giảm triệu chứng
- Cải thiện đặc tính của chất nhầy cổ tử cung
- Phục hồi quần thể tế bào lympho T và B
Những đánh giá này cần được làm đầy đủ bao gồm siêu âm, xét nghiệm mà các bác sĩ yêu cầu. Các bạn nên hiểu rằng siêu âm không phải là phương thức đáng tin cậy để theo dõi thành công của điều trị chứng lộ tuyến cổ tử cung. Nên không cần thấy lạ khi dù thấy kết quả siêu âm bình thường rồi, không còn triệu chứng mà các bác sĩ vẫn yêu cầu làm những xét nghiệm khác.
Sau khi điều trị thích hợp, các triệu chứng sau đây sẽ khiến bệnh nhân phải quay lại phòng khám để đánh giá thêm về tình trạng nhiễm trùng cổ tử cung như khí hư có mùi hôi hoặc chảy máu dai dẳng sau khi giao hợp hoặc giữa kỳ kinh nguyệt.
Một số câu hỏi thường gặp với viêm lộ tuyến cổ tử cung
Chưa quan hệ có bị viêm lộ tuyến không?
Có. Mặc dù viêm lộ tuyến cổ tử cung thường gặp ở phụ nữ đã quan hệ tình dục, nhưng người chưa quan hệ vẫn có thể bị viêm lộ tuyến. Nguyên nhân chủ yếu là do rối loạn nội tiết tố, vệ sinh vùng kín sai cách, hoặc dị ứng dung dịch vệ sinh.
Tuy nhiên, tỷ lệ này không cao. Nếu bạn chưa từng quan hệ mà có triệu chứng như khí hư ra nhiều, ngứa rát, đau bụng dưới, nên đi khám phụ khoa để xác định chính xác nguyên nhân.
Bị viêm lộ tuyến 1cm là nặng hay nhẹ?
Viêm lộ tuyến cổ tử cung 1cm nặng hay nhẹ? là câu hỏi được nhiều bạn quan tâm. Sebamed cho biết, bị viêm lộ tuyến 1cm thường được xếp vào mức độ nhẹ (độ 1). Khi diện tích lộ tuyến nhỏ hơn 1/3 cổ tử cung, đây là giai đoạn sớm, có thể điều trị bằng thuốc đặt hoặc theo dõi định kỳ mà chưa cần can thiệp đốt hay laser. Nếu được chăm sóc đúng cách, tình trạng này có thể cải thiện nhanh và ít tái phát.
Viêm lộ tuyến cổ tử cung 2cm nặng hay nhẹ?
Khi viêm lộ tuyến cổ tử cung 2cm, bệnh đã ở mức độ trung bình (độ 2). Diện tích tổn thương chiếm khoảng một nửa cổ tử cung, gây dịch tiết nhiều, ngứa, khó chịu và đôi khi đau khi quan hệ.
Ở giai đoạn này, việc điều trị bằng thuốc có thể không đủ. Bác sĩ thường khuyến cáo phối hợp thuốc đặt và can thiệp ngoại khoa (như đốt điện, áp lạnh hoặc laser) để làm se cổ tử cung và ngăn tái phát.
Bị viêm lộ tuyến cổ tử cung khi mang thai có sao không?
Tình trạng viêm lộ tuyến cổ tử cung rất phổ biến trong thai kỳ. Phụ nữ mang thai dễ gặp các triệu chứng này hơn do thay đổi nội tiết tố và nồng độ estrogen cao hơn trong cơ thể. Mặc dù những thay đổi này là phổ biến, bất kỳ hiện tượng tiết dịch hoặc chảy máu bất thường nào trong thai kỳ đều nên được bác sĩ đa khoa, nữ hộ sinh hoặc khoa sản kiểm tra, tùy thuộc vào giai đoạn thai kỳ của bạn để đảm bảo không có nguyên nhân nào khác gây chảy máu.

Viêm lộ tuyến cổ tử cung là một tình trạng lành tính, thường tự khỏi theo thời gian và không làm tăng nguy cơ ung thư hoặc các bệnh lây truyền qua đường tình dục. Tuy nhiên, các triệu chứng có thể gây khó chịu. Hy vọng, với bài viết về Viêm lộ tuyến cổ tử cung của Sebamed các bạn đã có thêm kiến thức hữu ích và chủ động chăm sóc sức khỏe mình tốt hơn.
Các bài viết bạn nên tham khảo
